Spitalul Municipal „Elena Beldiman” din Bârlad marchează o premieră medicală la nivel județean, după ce aici au fost efectuate cu succes primele intervenții urologice minim invazive cu ajutorul laserului urologic, recent achiziționat în anul 2025.
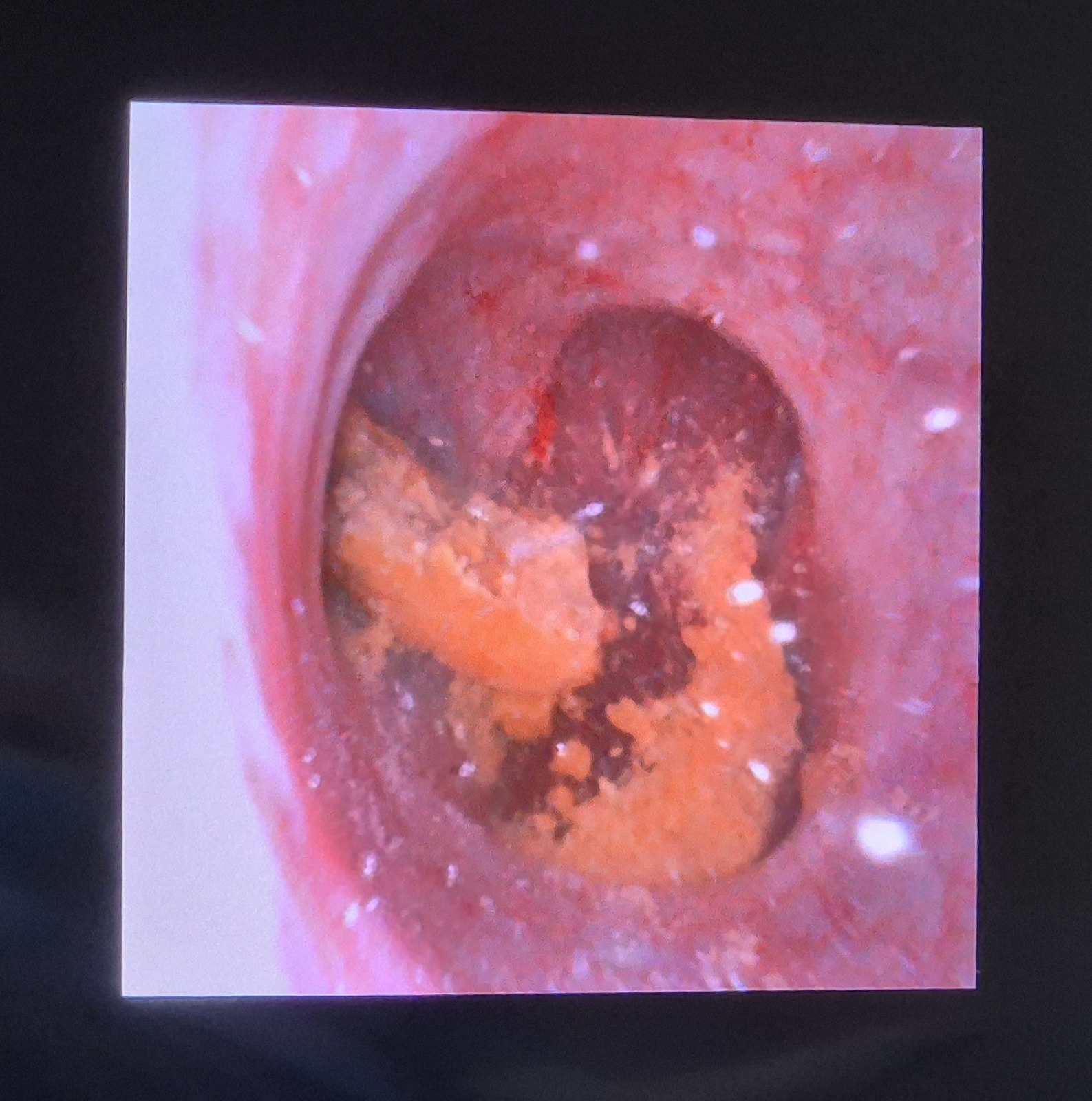
Primele patru intervenții chirurgicale au vizat pacienți diagnosticați cu litiază renală și litiază ureterală – doi bărbați și două femei – și au constat în proceduri de ureteroscopie flexibilă cu litotriție laser. Această metodă modernă permite fragmentarea calculilor renali și ureterali fără incizii chirurgicale, reducând semnificativ riscurile, durerea postoperatorie și perioada de recuperare.
Intervențiile au fost realizate cu sprijinul domnului dr. Răzvan Bobeică, medic primar urolog în cadrul Spitalului Clinic „Dr. C. I. Parhon” din Iași, recunoscut pentru vasta sa experiență în domeniu. Toate procedurile s-au desfășurat fără complicații, iar pacienții au fost externați vindecați la doar 48 de ore de la intervenție, reluându-și rapid activitățile zilnice.
Conducerea unității medicale subliniază faptul că Spitalul „Elena Beldiman” este, în prezent, singura unitate sanitară din județ dotată cu un astfel de echipament de înaltă performanță, oferind pacienților acces la tratamente moderne aproape de casă, fără a mai fi necesară deplasarea către centre universitare.
Succesul acestei premiere medicale a fost posibil datorită unei echipe multidisciplinare dedicate, formată din medicii urologi Bogdan Buzamat și Marcel Agachi, alături de dr. Răzvan Bobeică, precum și de echipa de anestezie și terapie intensivă: dr. Lica Roman, dr. Galiț Veaceslav, asistenții medicali Odobeșteanu Mona (bloc operator) și Mîrzac Mihaela (ATI).
Prin această realizare, Spitalul Municipal „Elena Beldiman” face un pas important spre medicina modernă, sigură și centrată pe pacient, consolidându-și rolul de furnizor de servicii medicale performante pentru comunitatea din Bârlad și întreg județul Vaslui.













